
Early screening for chromosomal abnormalities at 11-14 weeks of pregnancy
Watch this informative video to learn more about the NT scan process and what to expect during your appointment.
Note: This is a sample video. Please replace the video ID with your actual educational video about NT scans.
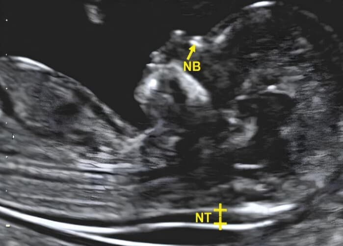
A Nuchal Translucency (NT) scan is a specialized ultrasound examination performed between 11-14 weeks of pregnancy. It measures the fluid collection at the back of the baby's neck to assess the risk of chromosomal abnormalities, particularly Down syndrome and other genetic conditions.

The optimal time for an NT scan is between 11-14 weeks of pregnancy. During this period, the nuchal translucency can be accurately measured. The measurement is most reliable when the baby's crown-rump length is between 45-84mm. This timing is crucial for accurate risk assessment.
While the NT scan is a valuable screening tool, it has some limitations:
Come with a moderately full bladder. Wear comfortable, loose-fitting clothing. Avoid applying oil or lotion to your belly.
A specialized ultrasound examination lasting about 20-30 minutes, performed by our expert sonographers. A water-based gel is applied to your abdomen for smooth probe movement.
Immediate feedback from our specialists, with detailed report and images provided. If increased risk is detected, further diagnostic tests like CVS or amniocentesis may be recommended.
A normal NT measurement is typically less than 3.5mm. However, the interpretation depends on the baby's crown-rump length and is combined with other factors like maternal age and blood test results to calculate the overall risk.
When combined with first-trimester blood tests (combined screening), the NT scan can detect about 85-90% of Down syndrome cases. However, it is a screening test, not a diagnostic test, and false positives can occur.
If your NT scan shows increased risk, your healthcare provider will discuss further diagnostic options such as Chorionic Villus Sampling (CVS) or amniocentesis. These tests can provide a definitive diagnosis but carry a small risk of miscarriage.
Yes, NT scans can be performed for twin pregnancies. Each baby will be measured separately, and individual risk assessments will be provided for each twin.
Coverage varies by insurance provider. Many insurance plans cover NT scans as part of routine prenatal care, but it's best to check with your provider directly to confirm coverage details.
Book your appointment with our experienced specialists for a comprehensive NT scan.